EZ3D-i

DESCRIPCIÓN

SOFTWARE PARA PERSPECTIVAS CORRECTAS

Impulsado por un nuevo motor de gráficos 3D VR, Ez3D-i es la herramienta ideal para obtener rápida y fácilmente las perspectivas correctas necesarias para un diagnóstico preciso y verdadero
  

HERRAMIENTAS DE DIAGNÓSTICO RÁPIDAS Y PRECISAS

Varios modos de coloración VT y Filtros 2D
Herramientas intuitivas de simulación de implantes: Detección de colisiones (implante / canal) / Verificación de densidad ósea / Herramientas de visualización oblicua
Navegación panorámica 3D
2-click airway analysis
Análisis de vías respiratorias con 2 clics
Múltiples curvas seccionales y herramientas de segmentación
 

MODOS DE CONSULTA INCLUIDOS

Modo presentación
Más de 200 videos de consulta
Imagen de diagnóstico fácil de capturar
Vista 3D
 
 

VARIOS MODOS DE COLORACIÓN VR Y FILTROS 2D

Múltiples vistas VR
 

ANÁLISIS DE VÍAS AÉREAS EN DOS CLICS

Con 2 clics obtienes el volumen y el área axial
mínima de una vía aérea.
 
HERRAMIENTA DE CONSULTA VIRTUAL VATECH
Con más de 200 animaciones únicas, VCT es una herramienta
que permite que le muestres a tu paciente
los planes del tratamiento.
 

VISTA PANORÁMICA 3D

Navega fácilmente y obtén una vista utilizando nuestro modo de navegación panorámica 3D
Con un clic y arrastra la ventana de visualización sobre la imagen 3D para obtener una vista de sección de esa región
La angulación es más fácil
 

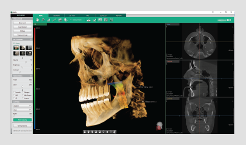
SIMULACIÓN DE IMPLANTES

Disponible en todos los modos de visualización en Ez3D-i (MPR / Section / 3DPan)
Modos de visualización de densidad ósea con varios colores
Detección de colisiones de implantes automática ajustable entre múltiples implantes y/o canal nervioso
 
 

SECTION TAB

 

3D PAN TAB

GESTIÓN MULTI-CURVA

Dibujar curvas seccionales desde la vista MPR o Vista seccional
Administra fácilmente 8 curvas de sección diferentes
Manipulación intuitiva de la vista seccional de clic y arrastre

ESPECIFICACIONES