GREEN X
DESCRIPCIÓN
EL SISTEMA MÁS AVANZADO DE RAYOS X DIGITAL 4 EN 1
Green X incorpora pano, ceph (opcional), CBCT y escaneo de modelos.
Proporciona imágenes de alta calidad con menor radiación al combinar el procesamiento de imágenes con la amplia experiencia de Vatech en el campo de las imágenes dentales, mejorando la precisión de tu diagnóstico y una mejor planificación del tratamiento.
MODO ENDO CON ALTA RESOLUCIÓN VOXEL DE 49.5 MICRAS
Con su modo de volumen de 4 x 4 cm y un tamaño de vóxel de 49.5 micras, modo Endo optimiza el tratamiento de regiones de interés. Es ideal para uso endodóntico porque el dentista puede lograr una imagen extraordinaria en un tamaño de vóxel de alta resolución.
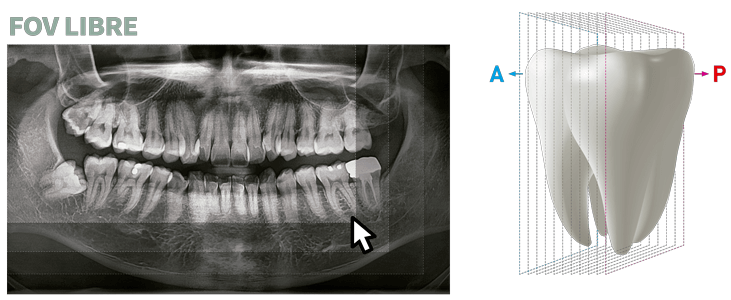
GRAN FOV DE ESCANEO
Green X tiene una amplia gama de campos de visión para que puedas elegir FOV óptimo minimizando la exposición en áreas que no están en la región de interés.
La selección de FOV se adapta a tus necesidades de diagnóstico: 16×15 (opcional), 16×9, 12×9, 8×9, 8×5, 5×5 y 4×4. Estas opciones abarcan toda la región del arco, seno y ATM (izquierda /derecha) y se adapta a la mayoría de los casos de cirugía y cirugía de implantes múltiples.
ESCANEO GREEN, FAST SCAN CON TECNOLOGÍA VATECH
Debido a su tiempo de escaneo, Green X minimiza el movimiento de artefacto y permite un flujo de trabajo más rápido. Produce magníficas imágenes de diagnóstico que serán motivo de orgullo para cualquier consulta dental.
FUNCIÓN INSIGHT DE SEGUNDA GENERACIÓN
Insight PAN es capaz de tomar una multicapa de la imagen panorámica proporcionando un aspecto de profundidad a través de un punto focal único. Insight 2.0 tiene la función de FOV gratuita mejorada para capturar sólo el área de interés.
ESCANEO DE MODELOS 3D
Clínica integral digitalizada ya que permite el almacenamiento de yesos como modelos digitales en archivos STL.
INTEGRACIÓN CAD/CAM
Nivel suficiente de detalle para el diseño de la guía quirúrgica
PLANTILLA ESPECIALMENTE DISEÑADA
Protección estable de modelo parcial a modelo completo.
*Escaneo 3D para yeso fundido con FOV de 10×8.5 (cm)
ESPECIFICACIONES


IMÁGENES
Tomografía
Panorámica
Lateral de craneo
Bitewing





