SMART PLUS

DESCRIPCIÓN

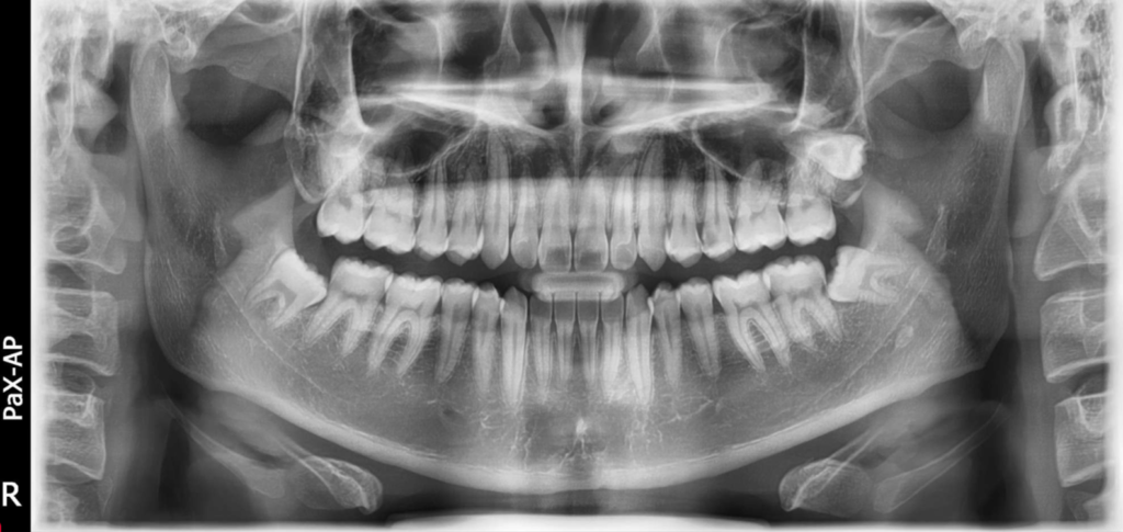
SOLUCIÓN DE IMAGEN AVANZADA CON INSIGHT PAN

El siguiente paso evolutivo en imágenes panorámicas
Insight es capaz de tomar una imagen panorámica de varias capas llamada Insight PAN que proporciona una mirada única a profundidad a través de un único canal focal.
Debido a que cada paciente puede tener un arco ligeramente diferente, las imágenes de panorámicas convencionales ocasionalmente pueden perder detalles importantes que salen de una sola capa focal.
Insight PAN es capaz de capturar una imagen panorámica de varias capas, asegurando que todos los detalles se capturen en una sola imagen panorámica.

 

 

 

UNA TOMA, DOS IMÁGENES

Un escaneo con Smart Plus no solamente le brinda una imagen CT, sino también una imagen Auto Pano.
Esto significa que los pacientes que requieran ambas imágenes no se sometan a dos radiografías. Ambas imágenes CT y Auto Pano se muestran dentro de la función Over View

 

 

2D Y 3D EN UN VISOR

La visualización de imágenes 2D y 3D juntas proporcionan muchos beneficios. No es necesario utilizar dos programas de software diferentes y la función de un visor representa un aspecto profesional para sus pacientes.
Este diseño ayuda a los pacientes a comprender mejor las imágenes, lo que eventualmente dará como resultado un aumento de aceptación.

 

 

INNOVACIÓN INTELIGENTE PARA EL DIAGNÓSTICO EXACTO

La calidad de imágenes 3D ha mejorado dramáticamente gracias a la innovadora tecnología de reconstrucción de imagen.

 

FOV DE ARCO EXTENDIDO

El innovador FOV de Smart Plus proporciona un volumen en forma de arco, que muestra una vista más amplia de la dentición en comparación con otros dispositivos del mismo campo de visión. Para los terceros molares, existe una alta posibilidad de que el diente se corte de la imagen. El “FOV de arco extendido” elimina esta posibilidad y proporciona al médico toda la dentición necesaria para un diagnóstico completo.

 

ESCANEO DE MODELOS 3D

El escaneo de modelos 3D permite a los usuarios almacenar yesos como modelos digitales

 

 

INTEGRACIÓN CAD/CAM

Nivel suficiente de detalle para el diseño de la guía quirúrgica

 

PLANTILLA ESPECIALMENTE DISEÑADA

Protección estable de modelo parcial a modelo completo.
*Escaneo 3D para yeso fundido con FOV de 10×8.5 (cm)

 

ESPECIFICACIONES

IMÁGENES

Panorámica

Panorámica

Tomografía